lemoirclinic

하이드라페이셜

HYDRAFACIAL

각질 수분 관리

Hydrafacial

피부 건강의 핵심, 각질과 수분 관리. 하이드라페이셜로 건강하고 아름다운 피부를 만나보세요.
전문적이고 효과적인 솔루션을 제공합니다.

피부층의 구성

표피층 (Epidermis)

피부 턴오버로 손상된 세포 제거 및 새로운 세포 생성 죽은 세포로 이루어진 각질층이 주기적으로 탈락 각질층이 과도하면 피부가 칙칙해지고 건조하며 트러블 발생의 원인이 됨

진피층 (Dermis)

구성성분: 섬유아세포, 콜라겐, 엘라스틴, 히알루론산 피부의 탄력과 두께를 결정하는 핵심 층 혈관과 림프관을 통해 영양 공급 및 노폐물 배출

피하지방 (Hypodermis)

구성 성분: 지방세포와 결합조직 충격 흡수 및 에너지 저장

정상피부

Normal skin

28일 주기로 새로운 세포 생성
새로운 피부층이 생기면서 오래된 각질층이 스스로 탈락
섬유아세포가 활발하게 활동
콜라겐, 엘라스틴, 히알루론산 재생

노화피부

Aged skin

피부 재생 주기가 느려져서 오래된 각질세포가 스스로 탈락되지 못해 피부 표면에 쌓임
각질층이 두꺼워지면 피부속 수분 보유력이 감소 (피부 건조)
피부층이 얇아짐
히알루론산 생성 감소
중력의 원인으로 피부 탄력이 떨어지면서 연조직이 쳐짐

각질층 관리의 중요성

각질층은 피부를 보호하는 역할을 합니다.
하지만 과도하게 두꺼워진 각질층은 피부의 수분 흡수를 방해하며,
고주파, 초음파, 주사, 레이저 시술의 효과를 감소시킵니다.

거칠고 건조한 피부

각질 축적되면 피부 표면이 울퉁불퉁해지고
수분 보유력이 떨어집니다.

유효 성분 흡수 저하

피부에 각질이 쌓여있으면 좋은 성분의 스킨케어 제품이
피부 속으로 제대로 흡수되지 않습니다.

칙칙한 톤의 피부

오래된 각질이 쌓여 각질층이 두꺼워지면,
빛의 반사가 감소하여 피부가 어둡고 칙칙해 보여
생기 없는 피부의 원인이 됩니다.

주름 생성 및 노화 가속화

피부 재생 능력 저하로
주름이 깊어지고 노화가 빨라집니다.

Hydrafacial의 주요기능

클렌징

볼텍스 퓨전 기술로 불필요한 각질과
노폐물을 부드럽게 제거합니다.

노폐물 추출

모공 정리 및 피지 조절을 도와
매끄럽고 투명한 피부를 형성합니다.

영양 및 수분 공급

히알루론산, 항산화 성분, 펩타이드 등
유효성분으로 깊은 수분감을 부여합니다.

Hydrafacial의 효과

하이드라페이셜은 각질 제거만 하는 것이 아니라
히알루론산, 펩타이드, 항산화제, 성장인자를 피부에 공급하여 보습과 재생 효과를 극대화합니다.

1

즉각적인 개선

궁극적으로 피부를 건강하고 아름답게 가꾸지 위해 맞춤 관리가 필요하신 분

2

광채효과

피부 자극을 최소화하면서 효과를 극대화하여, 시술 직후 피부가 즉각적으로 생기 있고 광이 나는 효과를 제공합니다.

3

장기적 효과

피부의 노화를 늦추고, 각질층 두께를 건강한 상태로 유지합니다.

4

보습, 장벽회복

깊은 영양 보습으로 피부 장벽을 강화하여 수분 손실을 방지합니다.

Hydrafacial의 차별점

글로벌 1위

글로벌 1위 각질 & 수분 트리트먼트 장비

오리지널 기술

볼텍스 퓨전 특허 기술 보유

글로벌 인지도

97개국 사용, 미국 FDA 승인

과학적 근거

유사 장비 중 유일하게 임상 보유

맞춤형 솔루션

부스터로 개인별 맞춤 시술 가능

셀럽들의 선택

헐리우드 스타들의 피부관리 비법

솔루션

Active-4 (각질제거)

성분

락틱산, 글루코사민염, 해조류추출물

효과

피부표면의 각질을 부드럽게 클렌징

Beta-HD (노폐물추출)

성분

살리실산, 버드나무껍질 추출물, 눈꽃추출물, 꿀추출물

효과

모공 속 노폐물 추출과 동시에 보습

Antiox+ (영양침투)

성분

저분자 히알루론산, 녹차추출물, 아르니카꽃추출물, 멀티펩타이드 효과

효과

영양성분들을 피부 깊숙이 침투시켜 피부를 보호

Hydro-Peel Tip

하이드라페이셜은 개인의 피부 상태와 각질 제거 수준에 맞춰
커스터마이징이 가능한 일회용 팁을 사용하며, 시술 후 바로 폐기하여 위생과 안전을 철저히 관리합니다.

1단계
라지 블루 팁

클렌징용

오렌지 팁

강한클렌징용

퍼플 팁

박피용

2단계
틸 팁

필공급 / 흡입용

3단계
클리어 팁

침투용

바디팁
바디 블루 팁

넓은 부위 클렌징용

솔루션

필센시티브

Peel sensitive

“저자극 필링 부스터”

AHA, PHA

하이드라락

Hydralock HA

“수분충전 부스터”

트리플 히알루론산 복합체,
과일추출물, 비타민 B5

JLO

JLO

“재생 부스터”

멀티펩타이드,
히알루론산, K3 비타민

더마빌더

Dermabuilder

“탄력 부스터”

멀티펩타이드

브라이트놀

Britenol

“미백 부스터”

알파알부틴, 비타민C,
베어베리 추출물

하이드라페이셜이 필요한 피부

거칠고 칙칙한 피부

피부 톤이 균일하지 않고
표면이 매끄럽지 않은 피부

모공 막힘이나
피지 과다로 인한 트러블성 피부

여드름이나 블랙헤드가
자주 생기는 피부

두꺼운 각질층으로
스킨케어 효과 저하

화장품 흡수가 잘 되지 않아
피부 관리 효과가 떨어지는 피부

건조하거나 민감한 피부

피부가 건조하고 피부 장벽이 무너져
쉽게 붉어지는 민감한 피부

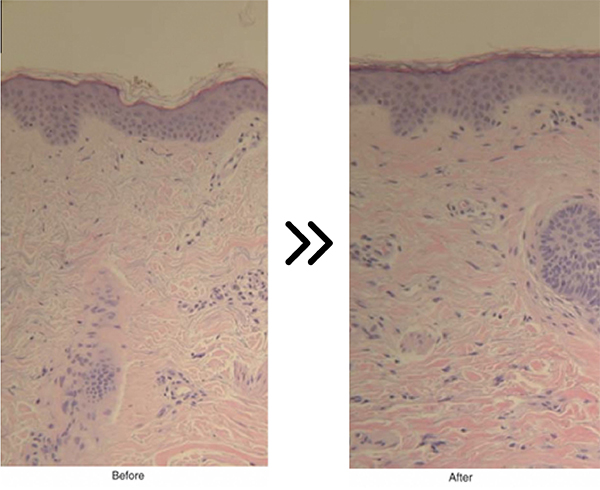
Before / After

눈으로 바로 확인하는 결과(건키)

Hydrafacial의 임상결과

20명의 환자를 대상으로 2주간격으로 6회씩 진행

A 그룹 : Hydrafacial 1-2단계를 진행 후 Anti-Ox+를 진행
B 그룹 : Hydrafacial 1-2단계를 제외하고 Anti-Ox+만 단독 진행

·피부 두께 증가
·섬유아세포 밀도 증가
· Anti-Ox+® 세럼 흡수 증가
·모공크기 감소
·잔주름 감소
·피부질감 개선
·피부 탄력
·수분감 개선

시술에 대해 궁금하다면 지금 바로 상담 문의하세요.